Compact Touch
Compact Touch je celosvetovo rozšírený, ľahký a ergonomický ultrazvukový prístroj od výrobcu Quantel Medical. K svojmu fungovaniu nepotrebuje externé PC. Dá sa ovládať cez dotykový farebný displej. Poskytuje rozšírenie o množstvo doplnkov a funkcií.

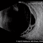
Nový ultrazvukový prístroj Compact Touch ponúka režimy A/B a pachymetriu. Ťaží z novej generácie 15MHz sondy so zvýšeným rozlíšením až o 30 %. Vďaka malým rozmerom sa zmestí do akéhokoľvek pracovného prostredia, dokonca aj do tých najmenších vyšetrovacích miestností. Po pripojení ľahko prepojí namerané údaje s vašimi sieťami DICOM, EMR alebo Wifi.
Kľúčové vlastnosti:
- ultra-kompaktný ultrazvukový systém prinášajúci, čo najlepší používateľský zážitok,
- nová 15 MHz sonda prináša výnimočnú kvalitu obrazu pre lepšiu a rýchlejšiu diagnostiku,
- kombinuje 3 v jednom 15 MHz B-scan, voliteľná sonda – pachymetria, A-scan.
Prístrojové vybavenie
Potrebujete nový prístroj do vašej oftalmologickej ordinácie? Vyberte si z nasledujúcich možností.
Spotrebný materiál
Hľadáte produkty, ktoré zabezpečia plynulý chod vašej oftalmologickej ordinácie?




